Help, I’ve got a dark tooth!
We’re biased, but a nice, bright smile can change the way people see you. For many people, good home care and a teeth whitening appointment can improve things dramatically, but it’s not a fix for everyone. If you notice a tooth that is a different color than the others, that dark tooth could be a sign of a cavity or other problem.

The Patient’s Dark Tooth

The cavity evident when opening the tooth.

The liner material creating a barrier to
protect the underlying nerve

The flowable filling material, which blocks out any
discoloration and creates a second layer of protection.

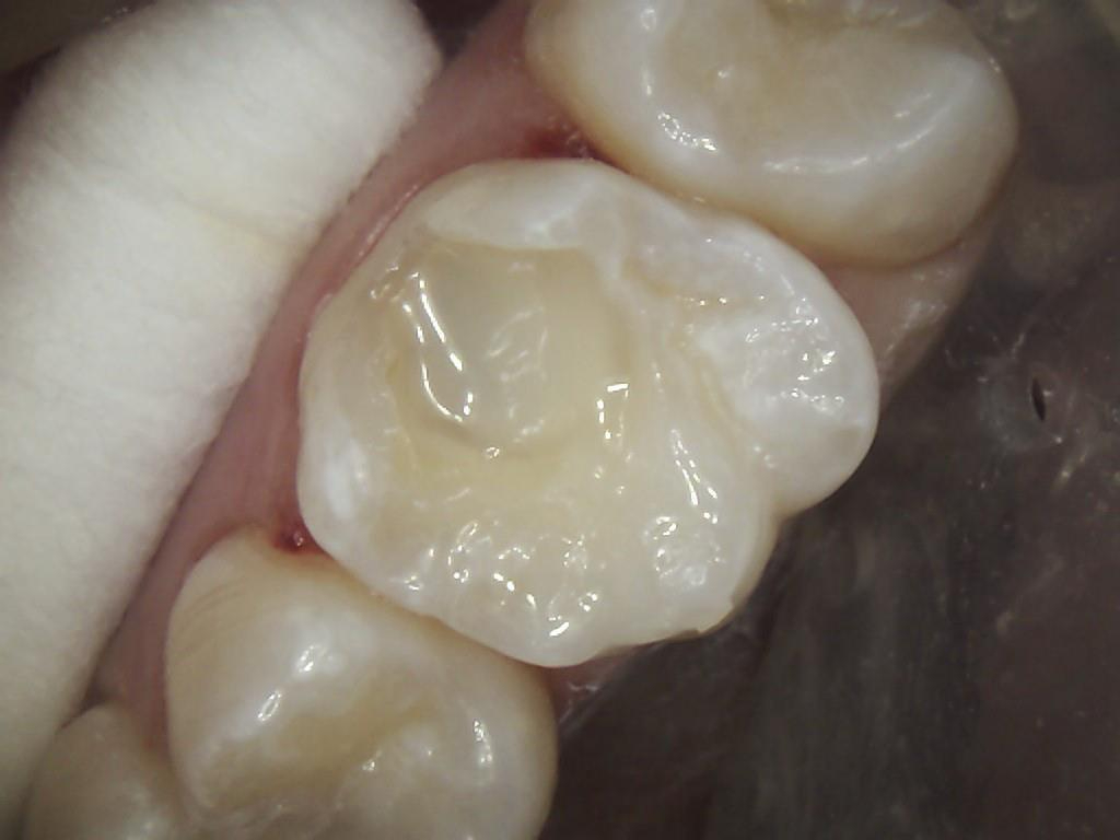
The final result, an esthetic, anatomic redesign
that is healthier and has a better prognosis.
If you hate seeing that dark tooth when you smile, or it looks like it’s getting worse, come see us at Chicago Style Smiles, your local Chicago Loop dentists. Dr. Fisher had a case that shows what that dark tooth could be hiding.
This patient had seen her tooth’s discoloration and was concerned. First, we took x-rays and used our Diagnodent system which, using light reflection, helps detect cavities that may not be totally visible. After discussing everything with the patient we decided to remove the cavity and place a filling.
When the tooth is accessed, it’s immediately clear that there was a cavity. A healthy tooth looks smooth, glossy, yellow/white and clean. This tooth was unhealthy.
The cavity extended very deeply, close to the nerve of the tooth. If left untreated, a dark tooth like this may need a root canal. In our case, because we were able to clean the tooth, the chances of pain dropped.
Once we remove the cavity, we cover the area with a material that helps to protect the nerve. This liner material serves as a barrier, the first of many, that protects the pulp of the tooth.
After this layer, we place a flowable filling material. This creates a second layer of protection and helps start to create that new, bright tooth.
Finally, we can place the firm filling material we use to blend, shape, and redefine the new healthier tooth.
This dark tooth was an eyesore, but more importantly, it had an unchecked cavity. Because we were able to address the tooth now, it is in a much better position to maintain its health. If you have any concerns about any dark tooth you should reach out and have Dr. Fisher to evaluate the condition of your teeth.




